【完美“颅”初】武宁县总医院人民医院院区外一科成功为患者完成自体颅骨修补术!
武宁县总医院人民医院院区外一科神经外科团队近年来深耕技术创新,探索颅骨修复新途径,通过与江西省元化低温医学科技有限公司合作完成了数例自体颅骨修补术,取得良好疗效。
大骨瓣减压技术常用在重症颅脑损伤的救治,术后常遗留有颅骨缺损。传统的颅骨修复材料虽取材方便,但存在明显的排斥反应,而自体颅骨修补恰恰規避了这一缺点,成了颅骨修复的“金标准”。自体颅骨不存在常见的排斥反应,外形匹配、美观,真正做到完美“颅”初。
成功案例
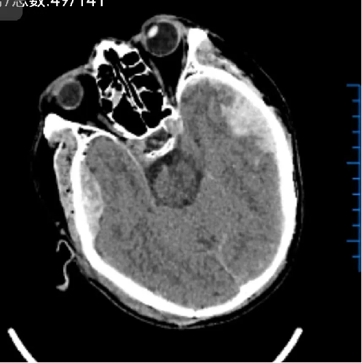
患者汪某,男性,66岁,因重症颅脑损伤,多发肋骨骨折,血气胸,锁骨骨折办理入院紧急手术,医院神经外科专家团队为患者行开颅血肿清除+大骨瓣减压术。手术顺利,术后恢复满意。专家团队将患者手术去除的颅骨骨瓣进行了清洗、灭菌后低温冰冻储存。
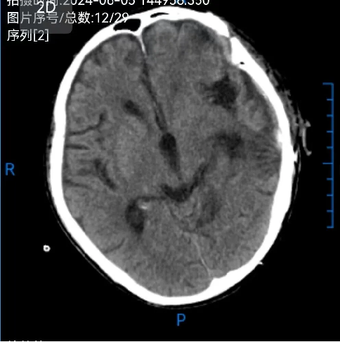
患者术后满三个月再次返院进行颅骨缺损修补术,经过完善术前检查、全科讨论、做好充分手术准备后,武宁县总医院人民医院院区神经外科团队成功为患者完成自体颅骨修补术。
术前:
术后:

终审:邹引

用户登录
还没有账号?
立即注册