【填补县域空白】武宁县总医院人民医院院区呼吸内科成功开展首例支气管动脉造影及栓塞术
随着血管介入技术的应用及推广,凶险的大咯血难题已经“迎刃而解”。近日,武宁县总医院人民医院院区呼吸内科高效精准施治,通过微创介入治疗成功救治大咯血患者。
武宁县总医院人民医院院区呼吸内科收治一位支气管扩张致大咯血的病人。患者因持续大量咯血来院就诊,呼吸内科副主任曹辛瑜医生第一时间会诊患者。因患者此次出血量较大,容易发生窒息,如果患者因咯血发生窒息,且未被及时发现和实施有效抢救,可导致其在短时间内死亡。在与患者及家属充分沟通后,决定行支气管动脉栓塞术,防止患者继续大出血。
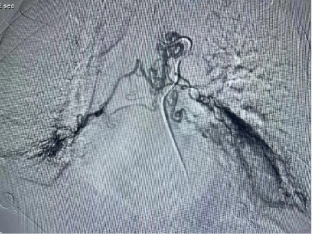
医院呼吸内科团队高度重视患者的治疗,组织全科人员讨论制定个性化治疗方案,通过患者体动脉cta造影检查,明确了包括支气管动脉在内的5支病变血管。经充分术前准备,7月2日晚7点,曹辛瑜副主任在术中精准定位出血病变血管,及时用栓塞剂对病变血管逐个栓塞,完全阻断病变血管血流,痰液立即恢复正常。患者手术顺利,术后恢复良好。支气管动脉栓塞术的应用,大大缩短患者住院时间,且有效降低患者出现大咯血窒息死亡风险。
此次介入手术的成功开展填补了我县咯血微创介入手术的空白,真正体现了微创、快速、准确、安全、有效的救治理念,为大咯血患者的精准治疗及良好康复赢得了宝贵的时间,让群众在家门口就有了“医靠”。今后,武宁县总医院人民医院院区将继续不断创新,用更精湛的技术、优质的服务,为群众的健康保驾护航。
专家介绍
曹辛瑜 主治医师
主治医师、硕士研究生、毕业于南昌大学,2013年考取温州大学硕士研究生,并完成浙江省住院医师规范化培训,于2016年6月研究生毕业,2020年10月-2021年3月在南昌大学一附院呼吸内科进修学习半年,开展支气管镜检查、经皮肺穿刺活检等诊疗。2023年11月-2024年4月在江西省胸科医院肺血管介入科进修咯血介入治疗。
健康科普
支气管动脉栓赛术是治疗各种原因引起的支气管动脉损伤所致咯血的手术。由于通过微创介入手术直接阻断出血(病变)血管的血流,大多数患者手术效果立竿见影。
支气管动脉栓塞术的适应症有以下几点:
1、对于肺癌伴咯血患者,可以选择支气管动脉栓塞术。
2、对于急性大咯血的患者,内科治疗效果不佳,可能会危及生命的。
3、对于反复的大咯血的患者,不符合手术指征或者是病人拒绝通过手术治疗的。
4、对于隐源性的咯血的患者,经过各种检查仍不能确定出血源,可以行支气管动脉造影,查出病因并进行治疗。


用户登录
还没有账号?
立即注册