【让党放心 人民满意】武宁县人民医院新技术、新项目展播(二)
一、玻璃体腔注药术
随着多种生物制剂的岀现和眼底病诊疗技术的不断提高,县级医院医疗服务能力和模式面临新的挑战,我院眼科聚焦眼底病等重点眼病,推广玻璃体腔注药术治疗方式,提升了医疗服务的效率,改善了患者的就医体验。
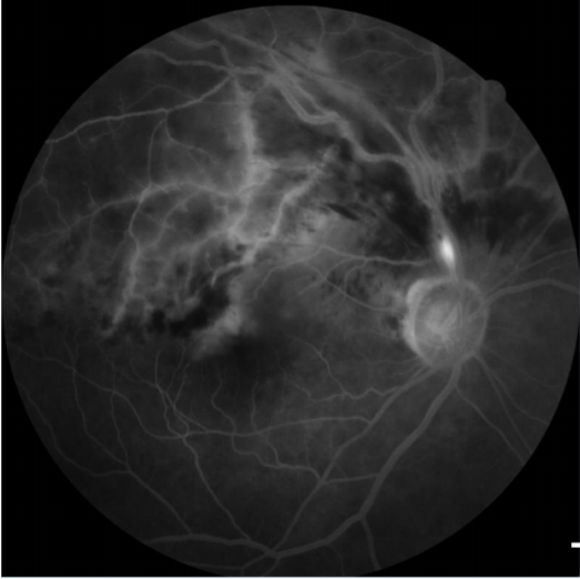
患者刘某,58岁,因右眼视力下降伴变形1月入院。既往有高血压病,血糖偏高病史,左眼视物不见10余年,经过眼科主治医师方霏的详细检查及眼底造影检查,发现是患上了右眼视网膜分支静脉阻塞,右眼黄斑水肿,左眼萎缩性黄斑病变。刘大叔入院时右眼视力仅0.1 ,需要使用一种新型的生物制剂(抗 VEGF)治疗,方霏主治医师向患者及家属交待病情、手术必要性及相关风险 ,在排除了手术禁忌症后,患者及家属表示同意手术治疗。次日,方霏主治医师在患者表面麻醉下进行右眼玻璃体药物注射术,术后患者无明显特殊不适。4周后复查,右眼黄斑水肿明显减轻,视力由0.1提高至0.6。玻璃体腔注药术明显改善了患者视力,患者刘大叔表示十分满意。
术前眼底照相及眼底造影FFA


术后4周眼底照相

术前OCT检查提示右眼黄斑水肿

术后OCT检查提示右眼黄斑神经上皮层厚度较前明显变薄

玻璃体腔药物注射术在表面麻醉下进行,用专用注射器在角膜缘后3.5mm 至4.0mm向眼球中心刺入,向玻璃体腔内注入抗血管内皮生长因子药液( Anti-VEGF ),使得新生血管闭锁,减少渗出,减轻视网膜水肿,达到稳定或提高视力的目的。该技术具有手术时间短、患者痛苦小、感染率低的优点。与其他给药途径相比 ,其药物作用针对性更强,可在短时间内达到较高的药物浓度,增强治疗效果 ,降低全身的毒性反应,能更好地控制病情的发展,是目前黄斑水肿的首选治疗方案。目前,我院眼科已开展玻璃体腔注药术近百例,眼底荧光素钠造影数十例 ,均取得了满意的预期效果。以上技术的成功开展,丰富了眼底疾病的诊治内容,对全面提升我院眼科诊疗水平也起到了积极的推动作用,给我县眼底疾病患者带来了福音。科普小课堂 黄斑位于眼底视盘颞侧,是视力最敏锐的地方。如果黄斑区发生病变,常可引起视力下降、眼前黑影或视物变形变色。其中50岁以上的湿性年龄相关性黄斑变性、糖尿病性黄斑水肿、脉络膜新生血管、继发于视网膜静脉阻塞的黄斑水肿引起的视力损害者行玻璃体腔注药术的效果最为明显。
专家介绍

方霏 团支部副书记/主治医师

毕业于内蒙古医学院,本科学历,先后在中山大学中山眼科中心、浙江大学第二附属医院眼科中心进修学习斜弱视的诊疗、白内障、眼眶病、泪器病、眼表疾病的诊治。擅长小儿斜视、弱视、屈光不正、眼睑疾病、各种类型白内障、青光眼、眼外伤、泪小管断裂、眼底病检查、过敏性鼻炎、鼻息肉、急慢性扁桃体炎、突聋、OSAH的诊治。
二、 下肢静脉微创手术
下肢静脉曲张为常见病及多发病,临床表现主要为下肢血管迂曲、下肢肿胀、疼痛、局部皮肤色素沉着、严重时出现局部溃疡、溃烂。对于有严重临床表现者均需要手术治疗。传统手术为大隐静脉高位结扎+主干剥脱+曲张静脉剥脱,相比微创手术其缺点是创伤大、恢复慢、下肢皮肤麻木感、不美观等。我院外二科自2022年底始常规开展下肢静脉微创手术,运用穿刺技术进行血管腔内消融闭合,硬化剂注射闭合曲张血管,从而达到传统手术一样效果,其优点为无切口、损伤小、恢复快、术后疼痛轻微、无明显皮肤麻木感、美观等。下肢静脉曲张主要危险因素有:重体力劳动、长时间站立工作、体型粗大、妊娠、长时间坐位工作等。预防下肢静脉曲张措施有:改变工作方式,如需长时间站立或者坐位工作者,可以穿静脉曲张弹力袜;保持良好生活习惯,坚持适当体育锻炼等。外二科现常规开展血管外科相关手术,如下肢静脉曲张微创手术、下肢静脉血栓相关手术治疗、血管瘤/血管畸形介入治疗、下肢动脉常规介入手术、内脏血管病变相关介入手术、内脏出血栓塞术等。
手术中
案例一
手术前 术后一个月
案例二


手术前 术后一个月
专家介绍

盛维为 外二科副主任/主治医师

本科毕业于山西医科大学,医学硕士,硕士毕业于温州医科大学,从事普外科临床工作近十年,先后于江西省肿瘤医院、华中科技大学附属同济医院进修学习,擅长普外科各疾病诊治及消化道、乳腺等恶性肿瘤的综合治疗,擅长各类腹腔镜手术。
三、种植牙技术
目前,社会上很多人被牙齿缺失所困扰,牙齿缺失不但影响人的咀嚼和语言功能,对于人的面部美观也是一种影响,甚至有些人因缺失牙齿而不愿意张口说话,种植牙被誉为人类“第三副牙齿”,因其舒适、美观、功能好而被缺牙患者追捧。经卫建委批准,我院于2023年3月18日正式开展种植牙技术,开展当天门诊手术7例共计14颗植体,术后1天回访患者表示无红肿、无疼痛症状,术后7天回访一切良好无异常,术后10天拆线创口愈合良好,自开展口腔种植手术以来,有许多患者纷纷到科里进行相关咨询和检查,更是不断有患者预约意向种植,我院严格按照江西省医疗保障局、江西省卫生健康委员会关于公布实施口腔种植类医疗服务价格有关事项的通知—赣医保字《2023》3号文件执行操作,在手术诊疗中,严格操作流程,减少感染风险。我院口腔种植技术的成功和发展,不仅完善了传统牙齿修复技术的不足,而且在功能与美观上给了人们崭新的体验,我院致力于提供一站式口腔种植诊疗服务,必将为本县及周边缺失牙患者找回美丽、自信的微笑。
手术中

案例一
种植前 种植后
案例二


种植前 种植后
专家介绍

陈莲萍 口腔科主任/主治医师
硕士研究生学历,主治医师,2009年7月正式加入中国共产党,2013年于昆明医科大学硕士研究生毕业后即进入武宁县人民医院口腔科工作至今,2018年至南昌大学第一附属医院口腔科进修一年,2019年至今带领科室先后开展儿童窝沟封闭、儿童牙齿涂氟、儿童错颌畸形早期矫正、复杂阻生齿微创拔牙、牙种植术等新技术。

用户登录
还没有账号?
立即注册